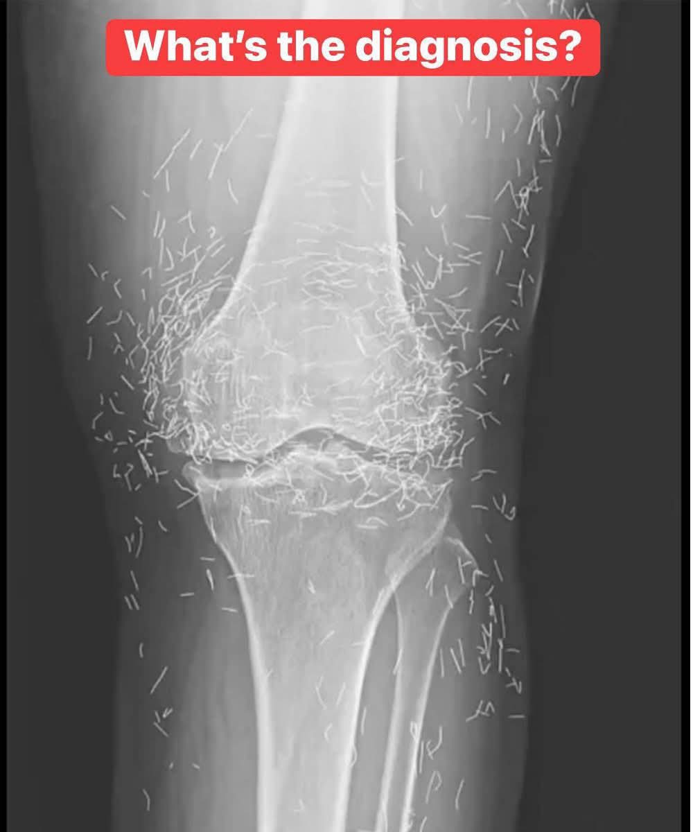
X-Ray Reveals Hundreds of Gold Needles in Woman’s Knees As doctors examined an X-ray image of the knees of an old woman experiencing severe joint pain, they found a gold mine: hundreds of tiny gold acupuncture needles left in her tissue.

The 65-year-old woman from South Korea had previously been diagnosed with osteoarthritis, a condition in which the cartilage and bones within the joints degrade, causing pain and stiffness. However, when pain relievers and anti-inflammatory drugs didn’t alleviate the pain in her knees and only caused stomach discomfort, she had turned to acupuncture, the doctors wrote last week in the New England Journal of Medicine.

Related Posts

Two Black Panthers Attack a Zebra as Deer Watch Nearby

A dramatic scene from the wild has been captured in an open natural area, showing two black panthers attacking a zebra in the middle of a dusty…

6.0 Magnitude Earthquake Detected Along the West Coast Region

A magnitude 6.0 earthquake was recorded offshore of the U.S. state of Oregon late Thursday evening, according to data from the U.S. Geological Survey (USGS). The seismic…

Police Find Girl Missing Since 2022 and the Emotional Reunion That Transforms Years of Fear Into Hope as Investigators Uncover Hidden Truths and a Family Begins the Long, Fragile Journey of Healing, Restoration, and Rebuilding a Childhood Stolen Too Soon

The news broke just after sunrise, long before most people in town finished their first cup of coffee. Phones pinged, televisions interrupted routine broadcasts, and whispers rippled…

Shocking Birthday Party Shooting in Stockton: Four Dead and Ten Injured During a Child’s Celebration, Authorities Investigate Motive as Community Struggles With Trauma, Witnesses Describe Chaos, and Families Seek Answers While Police Review Footage and Interview Neighbors to Identify the Shooter and Prevent Further Violence

A bright, sunny Saturday in Stockton began like any other family celebration, with neighbors and relatives gathering at a home to celebrate a young child’s birthday. Balloons…

Lila Marsland’s devastating story.

Some children have a glow that lights up any room. Five-year-old Lila Marsland was one of them—joyful, quick to laugh, and deeply cherished. She had just started…

Heroic Rescue: Goat Saved from Python Attack

In a daring feat, a brave individual rescued a helpless goat from the grip of an aggressive python. The dramatic moment unfolded as the python coiled tightly…